Nous sommes heureux de vous présenter ce premier cas clinique de l’année 2021 .
Si vous aimez echo-urgences.com , pensez à nous soutenir et à nous encourager !
Bonne et heureuse année à tous et ne lachez pas votre échographe car vos patients sont en droit d’être bien pris en charge !
Embolie Pulmonaire avec thrombus intra cavitaire !
Patient de 73 ans arrivé en SMUR après malaise et dyspnée.
Notion de plusieurs malaises la semaine précédente, présente une dyspnée à l’effort depuis quelques jours.
Atcds : HTA, tabac
Consulte ce jour son médecin pour dyspnée aggravée, celui-ci constate une désaturation à 80% puis 96% après repos, l’état hémodynamique est conservé, sur ECG T- en antérieur, appel au SAMU.
En SMUR état hémodynamique stable, sat 96%, pas de signes détresse respiratoire, dyspnée à l’effort, pas de signes d’insuffisance cardiaque, auscultation claire, mollets souples indolores
ECG : rythme sinusal, T- V1 à V4
A son arrivée au SAU, état clinique inchangé, bonne tolérance hémodynamique et respiratoire, apyrétique.
Bilan biologique :
DDimeres : 50000
Trop : 112
PCR COVID négative
pO2 : 72
pCO2 : 27
pH : 7,45
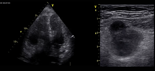
Echo cardio + Echo 4 points :
Fonction VG conservée
Dilatation des cavités droites
Thrombus mobile de l’OD et VD de 5 cms
Thrombose veineuse fémorale dte
Au final, patient transféré en USIC, amélioration par traitement médical sous anticoagulation par HNF
De l’intérêt encore une fois prouvée de l’échographie clinique au lit du malade !
Merci et bravo au Dr Marion BOURY pour ce beau cas clinique, avec Happy End !!!
